發布時間:2025-03-14 瀏覽量:0
前言
INTRODUCTION
據《2024年情緒與健康睡眠白皮書》上的統計數據,在接受調查的人群當中,95%表示最近一年有過健康困擾,人均3.6個健康困擾,擔憂普漲。其中,睡眠問題最為突出。

清華大學發表的一項新研究提醒:缺覺可激活“炎癥反應”牽連大腦,增加認知障礙風險。
在這項研究中,研究人員共分析了2641名參與者睡眠不足炎癥生物標志物和認知功能之間的關聯,并探索了小鼠模型的細胞機制。

結果顯示,睡眠不足(少于6小時)會引發全身炎癥,增加認知障礙風險,具體來看:
△認知功能測試發現,與正常睡眠時長(7~9小時)相比,睡眠不足(少于6小時)與測試中的認知得分較低相關;
△對炎癥生物標志物分析發現,較高的全身免疫炎癥指數與認知功能呈負相關;
△對小鼠模型分析發現,睡眠不足的小鼠,大腦神經元炎癥反應、氧化應激反應和整合應激反應通路,都被激活了。
研究指出,缺覺可引起腦內一系列炎癥連續反應,激活促炎因子釋放,這些炎癥因子會對神經元和認知功能產生不利影響,損害神經遞質平衡,影響神經元通訊,進而導致認知缺陷。此外,炎癥還可能影響血腦屏障,使其更具滲透性,并允許炎癥分子進入大腦,這會進一步加劇神經炎癥和神經退行性過程。

而長期睡眠不足導致的慢性炎癥,會導致氧化應激和細胞損傷,進一步加劇認知能力下降。
干細胞外泌體因其天然載藥能力、低免疫原性和血腦屏障穿透性,成為改善睡眠方向問題的理想候選。近期,發表于《Molecular Therapy: Methods & Clinical Development》的研究表明,臍帶間充質干細胞(hUC-MSCs)外泌體通過調節小鼠的神經炎癥和突觸功能,在應對睡眠剝奪引起的精神性障礙具有一定的潛力。
該研究表示人臍帶間充質干細胞外泌體可顯著上調海馬區HSP70表達,并通過抑制TLR4/NF-κB通路降低促炎因子(TNF-α、IL-1β)水平,緩解睡眠剝奪小鼠的神經炎癥。
(1)可減輕睡眠障礙引起的焦慮行為
作者研究了熱休克預處理的人臍帶間充質干細胞(hUC- MSCs)衍生的外泌體對小鼠睡眠剝奪引起的焦慮樣行為的潛在效果。
結果顯示,通過增加行走距離、繁殖次數、在開放臂中花費的時間,以及進入開放臂的條目證實,接受熱休克處理的人臍帶間充質干細胞外泌體顯著減輕了睡眠剝奪引起的焦慮樣行為。

(2)可減弱睡眠剝奪引起的認知障礙
此項研究中,研究人員調查了熱休克預處理的人臍帶間充質干細胞衍生的外泌體對小鼠睡眠剝奪引起的認知障礙的潛在效果。在這個測試中,新臂停留時間和自發交替次數被用作認知功能的指標。

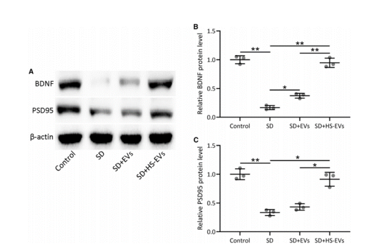
(3)可增加觸突關鍵蛋白的表達
研究人員收集了海馬組織進行蛋白質分析,檢測了關鍵突觸可塑性相關分子——即突觸后密度蛋白95(PSD95)和腦源性神經營養因子(BDNF)的蛋白表達。研究結果表明,用熱休克預處理的hUC-MSCs衍生的EVs治療導致PSD95 (p=0.017)和BDNF(p=0.002)的表達顯著增加。

(4)可減輕睡眠剝奪引起的海馬區神經炎癥
研究人員使用ELISA檢測了海馬區腫瘤壞死因子α(TNF-α)、白細胞介素-1β(IL-1β)、單核細胞趨化蛋白-1(MCP-1)和白細胞介素-10的蛋白水平。進一步證明其可通過抑制TLR4和p 65的表達,抑制小鼠海馬區的剝奪性神經炎癥。

睡眠不足和慢性炎癥,各自就像一塊肥沃的土壤,是多種疾病的幕后推手。此前,英國薩里大學發表在《美國國家科學院院刊》上的研究發現,每晚睡眠不足6小時,持續一周,人體就會有7110種基因的功能發生改變,其中涉及到新陳代謝、炎癥、免疫力和抗壓等功能。

關于針對睡眠障礙,我們有很多種方式方法去逐步改善。外泌體現階段在針對失眠方向研究的正向結果,為我們提供了未來可能的解決方案。但是,現階段干細胞外泌體針對失眠仍處于研究階段,未來需要更多的臨床試驗去推動其進一步的臨床發展。我們也期待著技術的早日成熟,為更多有改善睡眠需求人帶來新的應對方式的選擇。
【注】文章內容旨在科普細胞知識,進行學術交流分享,了解行業前沿發展動態,不構成任何應用建議。

