發布時間:2020-05-18 瀏覽量:0

2020年5月11日,銀豐生物集團下屬齊魯細胞治療公司馬賀然博士團隊題為“Therapeutic mechanism of human neural stem cell-derived extracellular vesicles against hypoxia-reperfusion injury in vitro”的研究成果在線刊登在國際著名SCI雜志《Life Sciences》。這是該研究團隊基于銀豐生物集團的大量研究基礎上又一重磅原創性研究成果,為神經系統疾病的治療提供了全新的思路。

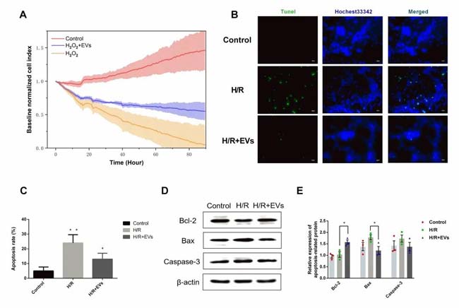
外泌體是細胞囊泡的一種,尺寸主要分布在40-100 nm之間,含有復雜的RNA和蛋白質,發揮細胞間通訊的作用。馬博士團隊認為,在神經干細胞(NSC)治療腦卒中的過程中,正是通過外泌體來實現對周圍細胞的調控,進而改善了疾病的微環境。

缺血性腦卒中是世界上致殘的主要原因和第二大死亡原因,至今,組織纖溶酶原激活劑(tPA)仍然是唯一有效的治療方法。但狹窄的治療窗(4.5h)和較高的腦出血風險限制了tPA的臨床應用,目前的溶栓治療僅能讓1-4%的患者獲益。缺血再灌注,其實是對腦部的兩次損傷,缺血時是一次損傷,再灌注時會有以氧化損傷為主的二次損傷,期間產生的大量自由基與脂質、蛋白質、及核酸發生反應,引起膜脂質過氧化,導致膜損傷,線粒體功能障礙,細胞溶解和組織水腫等一系列損害作用,稱之為自由基連鎖反應。而NSC來源的外泌體可以減少細胞凋亡、緩解氧化應激、幫助神經元渡過這個危險期。

而這一系列的功能,可能是通過激活Nrf2信號通路來實現的,外泌體促進了Nrf2從細胞質向細胞核的轉移,進而調控Nrf2下游一系列的抗氧化酶的表達。

除此之外,NSC來源的外泌體還具有神經再生的功效,體外研究表明,無論是在正常環境還是在缺血再灌注的病理環境中,NSC來源的外泌體都可以促進神經元的軸突伸長,促進神經網絡的重建。

據馬博士透露,本篇論文的內容,是其外泌體研究體系中的一小部分,目前仍有很多工作正在開展,病理環境中NSC分泌的外泌體是否與正常環境下的外泌體有所差異?功能性如何?是否具備規模化生產以及藥品申報的可能性等等問題,將在后續的研究中揭開謎底。
馬賀然:“干細胞治療未來的下一個戰場,很可能就是外泌體治療,而在那里,一定會有屬于銀豐的聲音。”
在神經系統疾病的治療領域,銀豐生物曾開展了一系列的研究工作,2018年,銀豐生物下屬銀豐生命學研究院院長曲廷瑜教授在《Stem Cells International》雜志發表論文“Neural stem cell-conditioned medium ameliorated cerebral ischemia-reperfusion injury in rats”,證實了NSC的條件培養基對腦卒中的大鼠有治療效果。同年,銀豐生物下屬北京公司團隊,建立了銀豐獨有的適用于腦卒中療效評估的大鼠模型,并將成果發表于《European Journal of Pharmacology》雜志(題為:Validation of a preclinical animal model to assess brain recovery after acute stroke)。2020年3月銀豐北京分公司再創佳績,一篇關于神經干細胞移植機制的綜述,成功發表于《Journal of integrative neuroscience》。而此次馬博士團隊的研究成果,則是在站在細胞水平和分子水平的角度,深度挖掘NSC治療缺血性腦卒中的機制,并證實了NSC旁分泌途徑的存在,開啟了銀豐生物對外泌體研究的新篇章。