發布時間:2024-09-05 瀏覽量:0

急性呼吸窘迫綜合征(Acute Respiratory Distress Syndrome, ARDS)是臨床上常見的一種急危重綜合征,臨床特征為難以糾正的低氧血癥和進行性加重的呼吸窘迫。24~48小時發病,也可長至5~7天。主要表現為:呼吸急促、口唇及指(趾)端發紺、極度缺氧的表現,可伴有胸悶、咳嗽、血痰等癥狀。病情危重者可出現意識障礙,甚至死亡等。

△ARDS判定標準
關于ARDS及其現有治療方式
PART 01
ARDS的疾病發展進程可分為3個階段:急性/早期或滲出期、組織期或增殖期、晚期緩解期或纖維化期。導致ARDS出現的病因十分復雜,目前已確定的風險因素主要有肺內原因和肺外原因,其中肺內原因主要有肺炎、誤吸、肺挫傷、淹溺、有毒氣體等;肺外原因主要有全身嚴重感染、嚴重多發傷、休克、高危手術、大量輸血[1]、藥物中毒、胰腺炎等。


正常肺
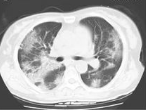
ARDS患者肺
2016年,一項針對50個國家459個重癥監護病房(ICU)患者的研究報告稱,10%的ICU患者和23%的機械通氣患者符合急性呼吸窘迫綜合征的標準,整體死亡率高達35-45%。一項針對中度至重度ARDS的大型試驗報告稱,90天時院內死亡率為43%[7]。
盡管大多數急性呼吸窘迫綜合征幸存者恢復了正常或接近正常的肺功能,但許多人仍然受到與肌肉無力、認知障礙、抑郁和神經肌肉無力等并發癥,將遭受長期的生活質量下降問題。
ARDS發病機制尚未十分明確,其發病機制涉及較多方面,主要包括炎癥失調、肺泡上皮細胞損傷、肺毛細血管內皮細胞損傷、微循環障礙和細胞凋亡等過程。

ARDS常規針對策略主要有原發病治療、呼吸支持治療(包括無創正壓通氣、肺保護性通氣、呼氣末正壓、肺復張、俯臥位通氣、高頻震蕩通氣、體外膜肺氧合)、藥物治療(包括抗炎治療、抗凝及纖溶激活治療、抗氧化治療、外源性肺表面活性物質(PS)替代治療),到目前為止,還沒有批準的藥物治療這種綜合征,也幾乎沒有藥物可以降低ARDS的發病率和死亡率。
干細胞或成為針對ARDS新策略
PART 02
盡管ARDS的臨床表現明確,但針對它的手段有限,病死率居高不下。
國內一科研團隊發表文章《間充質干細胞調控免疫細胞治療急性呼吸窘迫綜合征的研究進展》,揭示了間充質干細胞(MSCs)在調控免疫細胞中所起的關鍵作用,為ARDS的臨床應用研究提供了嶄新視角[12]。

MSCs與免疫調節機制
MSCs通過調控固有免疫和適應性免疫反應,在針對ARDS過程中發揮核心作用。在固有免疫系統中,MSCs能夠影響巨噬細胞的極化狀態,促使M1型(促炎)巨噬細胞向M2型(抗炎)極化,進而減輕炎癥反應。MSCs通過細胞外囊泡(EVs)傳遞特定的miRNA,如miR-17和miR-27a-3p,調節巨噬細胞功能,抑制炎癥并促進M2極化,有利于肺損傷的恢復。此外,MSCs還能調節樹突狀細胞(DCs),促進其向產生耐受性的DCreg轉化,抑制淋巴細胞活性,減少炎癥因子的釋放。
在適應性免疫方面,MSCs通過影響T淋巴細胞的增殖和分化,特別是調節Th17/Treg細胞平衡,減輕肺部炎癥。Th17細胞過度激活是ARDS發病機制的一部分,而Tregs則具有免疫抑制作用,維持兩者平衡對治療至關重要。MSCs及其EVs可通過攜帶miRNAs等分子,如miR-10a和miR-21,促進Treg分化,抑制Th17細胞介導的炎癥反應。
臨床應用與挑戰
在臨床應用方面,MSCs已顯示對COVID-19引起的ARDS具有積極效果,通過改善肺功能和總體預后。單次靜脈注射MSC-EVs能有效降低缺氧、調節免疫反應和減少細胞因子風暴,且安全性良好。然而,MSC的針對性效果受多種因素影響,包括細胞來源、分化狀態、給藥方式等。未來,通過基因修飾、預處理MSCs,或結合其他藥物使用,可以進一步提升其潛力。
未來展望
PART 03
MSCs及其EVs在調控免疫細胞功能、減輕ARDS炎癥反應和促進肺組織修復中展現出巨大潛力。雖然已有初步臨床應用成果,但深入理解MSCs與免疫細胞間復雜的相互作用機制,以及優化相應的臨床應用方案,仍是未來研究的重點。隨著技術的進步和機制探索的深入,MSCs及其衍生產品有望成為針對ARDS及其他炎癥性肺病的重要工具,為患者帶來新的選擇。
截止2023年12月,國家衛健委備案合計通過127項干細胞研究備案項目,其中92項為間充質干細胞,68項為臍帶來源的間充質干細胞。因此,間充質干細胞有望成為ARDS患者的福音。
【注】文章內容旨在科普細胞知識,進行學術交流分享,了解行業前沿發展動態,不構成任何應用建議。


